This week I had a stroke of luck or rather I NEVER had a stroke. I was admitted to the BDF Hospital suffering from angina after a few months of feeling pains in my chest. Dr Husam Noor my Consultant Cardiologist seemed confident that he knew what was wrong with me and I am pleased to say that his diagnosis appears to have been spot on. He performed an angiogram and found that a major heart artery was completely blocked. See the before picture below which is actually my heart not some internet picture. (You actually get a video of the procedure these days.) There should be a blood vessel roughly between the arrows.
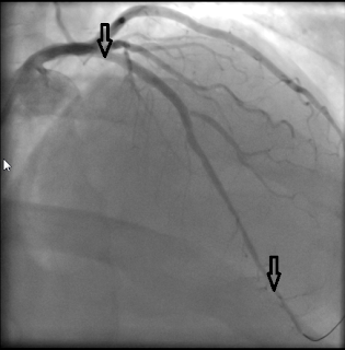
As you can see (or not see) it is missing as it had closed up completely. Dr Husam managed to perform an angioplasty which is to say he inserted two stents which keep the vessel open. After he was finished the same vessel (from a slightly different angle) looks like this
You can clearly see a beautifully open blood vessel between the arrows.
Words cannot adequately express my gratitude to Dr Husam and his fantastic team at the BDF who looked after me during my stay. Thank you seems so inadequate but I have little else I can offer.
Ladies and Gentlemen, I thank you from the bottom of ALL of my heart.
Dave
You can clearly see a beautifully open blood vessel between the arrows.
Words cannot adequately express my gratitude to Dr Husam and his fantastic team at the BDF who looked after me during my stay. Thank you seems so inadequate but I have little else I can offer.
Ladies and Gentlemen, I thank you from the bottom of ALL of my heart.
Dave


.jpg)
.jpg)
.jpg)


